Nossos Serviços

Oferecemos um portfólio completo de exames de radiologia odontológica em Sorocaba, utilizando tecnologia de ponta para dar ao seu dentista a clareza necessária para um tratamento de sucesso.

Tomografia Odontológica

A Tomografia Odontológica é o padrão ouro no diagnóstico, oferecendo imagens tridimensionais (3D) de alta resolução dos seus dentes, ossos da face e estruturas adjacentes. Diferente do raio-X comum, ela elimina a sobreposição de imagens, permitindo que seu dentista visualize detalhes milimétricos, essenciais para o planejamento de implantes, cirurgias complexas, localização de dentes inclusos e avaliação de lesões. É a inovação que garante um diagnóstico detalhado e preciso, crucial para a segurança do seu tratamento.

Documentação Ortodôntica

A Tomografia Odontológica é o padrão ouro no diagnóstico, oferecendo imagens tridimensionais (3D) de alta resolução dos seus dentes, ossos da face e estruturas adjacentes. Diferente do raio-X comum, ela elimina a sobreposição de imagens, permitindo que seu dentista visualize detalhes milimétricos, essenciais para o planejamento de implantes, cirurgias complexas, localização de dentes inclusos e avaliação de lesões. É a inovação que garante um diagnóstico detalhado e preciso, crucial para a segurança do seu tratamento.

Radiografia
Panorâmica

A Panorâmica é uma radiografia extraoral que fornece uma imagem bidimensional de toda a boca em uma única tomada. Ela permite uma visão geral das arcadas dentárias, maxila, mandíbula, seios da face e articulações temporomandibulares (ATM). É um exame de triagem fundamental para a avaliação inicial, detecção de cáries extensas, cistos, tumores, avaliação de dentes do siso e análise do suporte ósseo, sendo a base de muitos diagnósticos na odontologia.

Escaneamento
Intra Oral

Escaneamento Intra Oral é uma tecnologia de ponta que cria um modelo digital 3D preciso dos dentes e gengivas sem a necessidade das incômodas moldagens tradicionais. Esse processo é rápido, confortável e resulta em um arquivo digital de alta fidelidade, essencial para o planejamento de próteses, alinhadores transparentes (ortodontia) e guias cirúrgicos. Ele reflete nosso valor de inovação, oferecendo ao paciente o máximo de conforto e ao dentista a máxima precisão.

Radiografias
Extra Orais

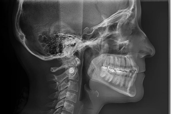
As Radiografias Extra Orais englobam uma série de exames realizados com o filme ou sensor posicionado fora da boca. Além da Panorâmica, esta categoria inclui as Teleradiografias e outras incidências que avaliam a relação dos ossos da face e estruturas maiores. Elas são essenciais para estudos cefalométricos em ortodontia e para a análise das articulações temporomandibulares (ATM), sendo vitais para diagnósticos que vão além da arcada dentária.

Planejamento
3D (Virtual)

O Planejamento 3D utiliza as imagens de alta resolução da Tomografia Odontológica para realizar simulações virtuais de procedimentos complexos, como a colocação de implantes dentários. O dentista consegue planejar a posição, o ângulo e o tamanho exato do implante antes mesmo da cirurgia, tudo em ambiente virtual. Este serviço garante o máximo de confiabilidade e segurança, pois permite a detecção e prevenção de possíveis complicações, como o toque em estruturas nervosas ou seios da face. É a tecnologia a serviço da excelência no resultado final do seu tratamento.

Guia
Cirúrgico

O Guia Cirúrgico é a materialização do Planejamento 3D. Trata-se de uma peça personalizada e impressa em 3D que o dentista utiliza durante a cirurgia de implantes. Ele funciona como um template que assegura a execução do procedimento exatamente como foi planejado virtualmente. Com ele, a cirurgia se torna minimamente invasiva, mais rápida e com um pós-operatório mais confortável. Na OdontoQuest, a confecção do guia é feita com materiais de alta qualidade, reforçando nosso compromisso com a inovação e o sucesso do seu tratamento.

Tomografia para
Endodontia (Tratamento de Canal)

A Tomografia para Endodontia utiliza a tecnologia CBCT com um campo de visão (FOV) reduzido, focando apenas nos dentes de interesse. Este nível de detalhe tridimensional é essencial para o tratamento de canal, pois permite ao dentista visualizar canais radiculares acessórios, fraturas, reabsorções internas ou externas, e diagnosticar a extensão de infecções que não são claramente visíveis em radiografias 2D. É uma ferramenta de precisão que eleva o diagnóstico endodôntico, contribuindo diretamente para a melhora na qualidade de vida e o sucesso a longo prazo do dente tratado.

Pronto para um Diagnóstico de Alta Confiança?

OdontoQuest

Entre em contato hoje e descubra como a OdontoQuest pode ser o passo decisivo para um tratamento odontológico de sucesso.